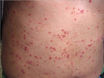
银屑病,是一种我们大家不陌生的皮肤疾病,它也就是我们日常生活中较常见的牛皮癣,是一种顽固难治的慢性疾病,一旦出现该疾病,给患者带来的影响和伤害是极大的,如果得了该疾病没有及时的去治疗的话,还有可能病情蔓延到全身,造成更大的伤害。因此我们一定要引起重视,得了该疾病要及时的去接受治疗。那么,银屑病患者要注意事项有哪些呢?我们来看看相关的专家是怎么介绍的。
银屑病患者要注意的事项
一旦生活中出现了银屑病,患者一定要引起重视,由于银屑病的治疗是有很大的难度的,因此患者在选择治疗方法一定要慎重,不要随便的选择治疗方法或者是到一些不正规的小诊所治疗,如果出现错误的治疗就会导致病毒的加重和恶化。患者一定要到正规的银屑病专科医院进行全面的检查和治疗。只有这样才能更快更好的去治疗该疾病。
对于银屑病,有些患者可能认为是一种不治之症,因此在出现该疾病后,就会出现紧张和焦虑的情况,而且也没有及时的去治疗。其实这样是不对的。患者一定要充分的了解和认识银屑病,以至于能及时的到医院进行治疗,及时的和医生进行沟通和交流,避免由于不了解该疾病,而造成紧张和焦虑等不良的心理状态。而且目前还没有针对病因等完全治好的满意疗法,不要盲目追求什么偏方和高科技手段彻底治好的办法,那些都是骗人的把戏。
银屑病是一种严重的皮肤疾病,它的出现是有一定的季节性的,具有冬重夏轻的特点,因此患者在冬季一定要最好平时的护理工作。而且本病不会传染,但是会自身的蔓延,因此要及时的去治疗。生活中诱发该疾病加重或是的复发的因素有很多,因此患者一定要引起重视,如治疗不当、饮食无规律、生活压力大、作息没有规律等,都有可能引起银屑病的加重或者是复发。
温馨提示:以上就是我们的专家为大家详细介绍的一些银屑病的注意事项,希望通过上面的详细介绍,大家对该疾病引起重视,在平时的生活中能够积极的去预防该疾病的出现,也希望患者朋友们能够多加在日常生活中能够多加注意以上小编所说的内容,避免疾病出现恶化的情况,使自己受到更严重的伤害。如果出现银屑病,患者一定要及时的到医院进行检查和治疗。
(责编:邓秀芳 )
