带状疱疹在日常生活中是我们常见的一种皮肤病,它的主要发病部位在患者的腰间或颈部,在这些地方会长出许多的水泡,都患者非常的痛苦,而且它的初期症状也会因人而会有所不同,那么,带状疱疹的初期症状都有哪些呢?下面由专家给我们详细的解答。
一、一些人患带状疱疹的时候常会感觉身体非常的没有力气,有的甚至还会发烧、呕吐等,而且皮肤上会出现许多的水泡,患者会感觉患处的皮肤会有自觉的灼热或神经的痛的感觉,慢慢的触摸的时候还会感觉非常的痛,一般在带状疱疹出时的前期,神经的痛的会渐渐地加重。
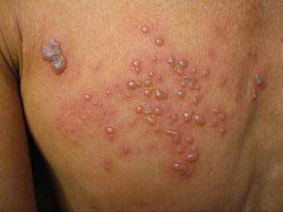
二、带状疱疹初期的症状一般都是皮肤组织受到很大的损害,一般在炎症出现后会慢慢的形成丘疹,再由丘疹变成为水疱,它会沿着皮肤损坏的地方分布,而且还排列成带状,有一定的分辨性,很容易诊断出来,在每个水疱的中间皮肤没有损害,若护理的好,不让患处周围受到感染的话,过些天后,水疱就会干涸,但一般痊愈后不会留下疤痕。
三、一般对于儿童来说,患处的疼痛比较轻或者不会有痛的感觉,老年人却与之相反,老年人患带状疱疹的时候,患处的疼痛会一阵阵的加剧,非常的难以忍受,等水疱消退后,一般疼痛还会持续一段时间,此病一般是由于长时间的不运动和锻炼,迫使免疫功能下降,从而引起带状疱疹,所以在日常生活中要多做锻炼身体,适量的做一些运动。
温馨提示:通过上面的介绍可以知道带状疱疹给人们带来的危害非常的大,它有时候会使人食欲不振,睡不好觉,所以一定要及时的去正规医院进行治疗,防止病情加重,给患者帯来更多的痛,同时也要做好护理工作,保持患处的卫生。
>>>>推荐阅读>>>
(责编:邓秀芳 )
